107.4.-
SUDDEN UNEXPECTED DEATH DUE TO "THROMBOTIC MICROANGIOPATHY " IN A YOUNG PREGNANT LADY FOLLOWING CAESAREAN SECTION.
Prof. Garfia.A
107.4
MUERTE SUBITA EN SECUNDIGESTA, DE 26 AÑOS, TRAS INTERVENCIÓN DE CESÁREA POR PARTO DISTÓCICO EN EMBARAZO GEMELAR, SECUNDARIA A UNA "MICROANGIOPATÍA TROMBÓTICA".
Prof. Garfia.A
Prof.Garfia.A |
Prof.Garfia.A |
Prof.Garfia.A |
Prof.Garfia. |
Abstract
Maternal deaths during pregnancy, labor, delivery and immediate post-partum period are uncommon and may result from a broad range of conditions. I report a case of rapid death in a young pregnant lady who developed, suddenly, dysnea, hypotension and cardiac arrest, four hours after caesarean section. Postmortem examination shows platelets microthrombi within the pulmonary vasculature.
A postmortem diagnosis of possible/compatible thrombotic thrombocytopenic purpura was emitted.
Thrombotic thrombocytopenic purpura is one of subset of diseases that result in the formation of microthrombi, as primary or secondary manifestation. Also,
Hemolytic uremic syndrome
Systemic lupus erythematosus
Preeclampsia-eclampsia
HELLP syndrome
Acute fatty liver of pregnancy
Antiphospholipid antibody syndrome
Disseminated intravascular coagulation
are other conditions must be included in the differential diagnosis during pregnancy.
The histopathological microscopical findings of these diseases can be very similar and when we only have the morphological findings, from a autopsy study, an accurately differential diagnosis can be not obtained. To obtain an accurate diagnosis of the cause of death it is neccesary the clinical history (symptomatology, trimester of onset and antemortem laboratory testing), in addition to a thorough autopsy. In the absence of an adequate clinical history and laboratory premortem testing, a more general diagnosis of "thrombotic microangiopathy of pregnancy" can be acepted.
Resumen
Las muertes maternas durante el embarazo, el parto y el postparto inmediato, constituyen una fatalidad excepcional que resultan de un conjunto de condiciones patológicas diversas.
Describo aquí el caso de una muerte inesperada de una joven embrazada que, a las cuatro horas de ser sometida a una intervención de cesárea, presentó un cuadro clínico de disnea, hipotensión y parada cardiorrespiratoria seguida de muerte, a pesar de la aplicación de maniobras de resucitación cardiopulmoar avanzadas. El estudio histopatológico del cadáver demostró la existencia de abundantes trombos plaquetarios en el lecho vascular pulmonar.
Se emitió un diagnóstico de una posible/compatible púrpura trombótica trombocitopénica (PTT). La púrpura trombótica trombocitopénica pertenece a un conjunto de enfermedades que se caracterizan por la tendencia a la formación de microtrombos en el lecho vascular, de manera primaria o secundaria. Entre éstas se encuentran, también: 1.-El Síndrome Hemolítico Urémico (de Gasser)
2.-El Lupus Eritematoso Sistémico 3.-La Preeclampsia-Eclampsia 4.-El Síndrome HELLP (hemolysis;elevated liver enzymes;low platelets). 5.-El Hígado Graso Agudo del Embarazo 6.-El Síndrome Antifosfolípidos (Síndrome de Hughes). 7.-La Coagulación Intravascular Diseminada. Todos ellos son procesos que intervienen en el diagnóstico diferencial de una púrpura trómbótica trombocitopénica presente durante el embarazo. Los hallazgos microscópicos de todas estas enfermedades pueden ser similares y, si solamente contamos con el estudio macro y microscópico del cadáver, el diagnóstico diferencial entre ellas puede llegar a ser imposible. Para conseguir llegar a un diagnóstico certero de la causa de la muerte, tal como exige la Ley del Arte, es necesario poseer toda la información referente a: 1.-Historia clínica completa (sintomatología y trimestre de comienzo de la enfermedad). 2.- Analítica premortem. 3.-Autopsia 4.-Estudio Histopatológico Forense (incluyendo técnicas inmunohistoquímicas para la identificación exacta de los componentes de los microtrombos; inmunohistoquímica para la identificación del factor plaquetario VIII). Si se carece de esta información, el diagnóstico diferencial entre una PTT y las otras entidades nosológicas descritas más arriba, es imposible. En estos casos, se admite como correcto un diagnóstico histopatológico de "microangiopatía trombótica del embarazo".
DESCRIPCIÓN DEL CASO.
1.-Antecedentes patológicos
Se trataba de una paciente secundigesta con parto anterior mediante cesárea, por sufrimiento fetal.
2.-Gestación actual
Gemelar, bicorial y biamniótica, de curso evolutivo normal.
Ingresó durante la semana 36+3 por bolsa rota.
Tras varias horas de evolución de la amniorrexis se indicó cesárea por embarazo gemelar y no progresión espontánea del parto.
La cesárea cursó sin incidencias (segmentaria transversal) y el post-operatorio inmediato cursó sin dificultad.
A las cuatro horas de la intervención presentó un cuadro de disnea súbita seguido de hipotensión y parada cardiorrespiratoria. Se recuperó, con masaje cardiaco y oxígeno, y pasó a la Unidad de Cuidados Intensivos donde hizo una segunda parada, presentando una hemorragia uterina de sangre sin coágulos. Ante la sospecha de un síndrome de embolia de líquido amniótico, con CID secundaria, se decidió llevar a cabo una histerectomía subtotal durante el transcurso de la cual hizo una tercera parada irrecuperable. La paciente llegó a quirófano en situación de shock hipovolémico hemorrágico, sin pulsos carotídeos, electrocardiograma mostrando disociación electromecánica y midriasis pupilar. La paciente fue conectada a un respirador de quirófano y sometida a maniobras de resucitación cardiopulmonar, durante 40 minutos siendo, finalmente, exitus.
3.-La Autopsia Médico-Legal
3.1 Examen externo
El cadáver presentaba una cicatriz de laparotomía media, reciente y suturada con grapas metálicas, desde apófisis xifoides hasta la sínfisis del pubis, así como diversas punturas yatrógenas en subclavia derecha, ambas muñecas y dorso de ambas manos. Existía congestión cefálica intensa.
3.2 Examen Interno
Congestión vascular y edema cerebral moderado. Hipófisis hipertrófica.
Edema pulmonar bilateral y cuadro petequial difuso en la superficie pleural de ambos pulmones (más marcado en el izquierdo). Espuma en la luz de grandes bronquios. Corazón normomorfológico. Petequias en epicardio ventricular.
Resto de órganos abdominales sin hallazgos de interés.
El útero, extraído previamente durante la histerectomía de urgencia, se encontraba formolizado, junto con la placenta y, ambos, contenidos en un recipiente de plástico.
Prof.Garfia.A |
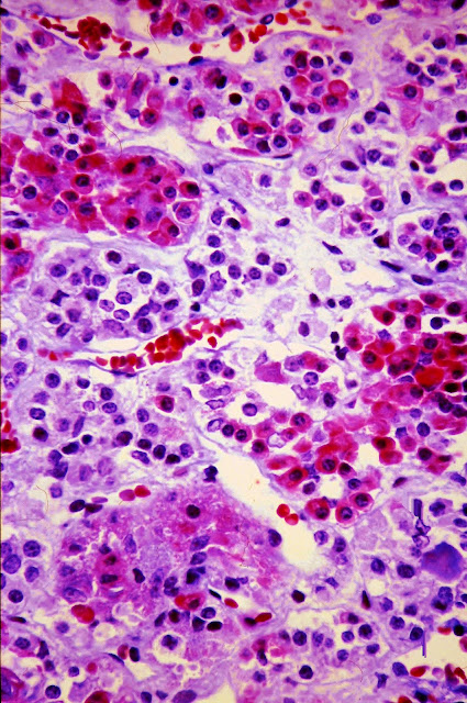
Fig. 1.-Adenohipófisis.-
Durante el transcurso del embarazo el lóbulo anterior de la hipófisis (adenohipófisis) experimenta un crecimiento notable debido, sobre todo, a la aparición de las llamadas "células del embarazo" en la literatura clásica. Estas células son elementos grandes, que poseen un citoplasma bien desarrollado el cual contiene granulaciones que se tiñen de un color naranja intenso con tinciones especiales como el Azán y el tricrómico de Masson, es decir, son células acidófilas. Funcionalmente, las células acidófilas son de dos tipos, difíciles de diferenciar con el microscopio de luz: las células que fabrican hormona del crecimiento (STH; con fuerte apetencia colorante por el naranja G), y las células mamotropas, que son el tipo dominante durante el embarazo, fabrican prolactina, y poseen gran apetencia colorante por el azocarmín y la eritrosina; estas células sufren una gran hipertrofia durante la lactancia. Las células del embarazo sufren, a veces, un proceso degenerativo, en el transcurso del cual las granulaciones se hacen más groseras y confluyen hasta formar gotas coloides de mayor tamaño. Después del parto y de la lactancia, las células acidófilas regresan a un estadio de células cromófobas. En la imagen se distinguen abundantes células de prolactina, cuyo citoplasma se tiñe, intensamente, de color naranja.
Prof.Garfia.A
Fig.2 .-Útero.-
De 1039 g, después de la fijación en formol, medía 17x16x7 cm de diámetros mayores. Mostraba un corte coronal que exponía la cavidad uterina la cual un color marronáceo y asppecto hemorrágico.
Microscópicamente, la cavidad se encontraba revestida por trombos de fibrina, células deciduales y focos geográficos de hemorragia. La fotografía endeña la pared uterina mostrando las huellas quirúrgicas de la intervención de cesárea, a la que fue sometida. En la imagen se aprecian fragmentos de hilo de sutura, teñidos de color rojo por la coloración tricrómica, surcando la musculatura miometrial. El material que conforma el hilo de sutura quirúrgica suele mostrar birrefringencia cuando se examina, microscópicamente, utilizando la luz polarizada. Además, considerado como un cuerpo extraño por el organismo, existe, -cuando ha transcurrido un tiempo suficiente de permanencia- una respuesta tisular granulomatosa, con formación de células gigantes multinucleadas de cuerpo extraño. Prof.Garfia.A
Prof.Garfia.A |
Fig.3.-Útero.
Detalle del hilo de sutura al examen microscópico con luz ordinaria. Prof.Garfia.A
Prof.Garfia.A |
Foto nº4.-Placentas. Placa basal. Cotiledones.
Placenta doble, cada una de las cuales posee membranas y cordón. Pesaron, conjuntamente, 1200 g. La mayor, en el lado derecho, medía 24x14x 2 cm, y la más pequeña 17x11x3 cm de diámetros mayores. Uno de los cordones umbilicales se insertaba lateralmente en la placenta más grande, mientras que el otro lo hacía emitiendo ramas troncales que se insertaban en la placa corial de ambas placentas. El cordón de la placenta mayor presentaba una arteria y una vena mientras que, el de la menor, poseía dos arterias y la vena umbilical. El examen de los cortes seriados de ambas placentas mostraba la existencia de infartos blancos, de escasa extensión y significación patológica.Prof.Garfia.A
Prof.Garfia.A |
Foto nº 5.-Placentas. Placas coriales.Vascularización.
La fotografía muestra que uno de los cordones umbilicales se inserta en ambas placas coriales placentarias.
Prof.Garfia.A
Fig. 6.-Pulmón. Macroscópico.
Los pulmones presentaban depósitos antracóticos subpleurales discretos aunque, en uno de ellos, se comprobó la presencia de una placa de fibrosis pleural, de límites irregulares, que medía 1.7 cm de diámetro máximo. En esta fotografía se muestra la ocupación de una boquilla vasculare por trombos de color blanquecino grisáceos.Prof. Garfia.A
Las fotografías que se muestran a continuación pertenecen al estudio microscópico del pulmón. El cuadro morfológico es similar en todas ellas y consiste en la presencia de hemorragias alveolares multifocales y de trombos plaquetarios, en algunos casos ocluyentes. En algunos cortes se detectó, también, la presencia de embolización por médula ósea (con megacariocitos), hallazgo muy frecuente en los cadáveres de pacientes que han sido sometidos a maniobras de resucitación cardiopulmonar.
Fig. 7.-Pulmón.Microscópico.
Corte longitudinal de un vaso cuya luz aparece ocupada por trombos, no ocluyentes, formados, exclusivamente, por plaquetas. Prof.Garfia.A
Fig. 8.-Pulmón.-
Detalle de los trombos plaquetarios flotando en el seno de la columna eritrocitaria, compactada (sludging). Prof.Garfia.A
Fig. 9.-Pulmón. Microscópico.
Trombo plaquetario ocluyente ocupando la luz de un vaso de mediano calibre. Prof.Garfia.A
Fig. 10.-Pulmón. Microscópico.
Trombo plaquetario ocluyente en el que se aprecian líneas formadas por la agregación plaquetaria. Nótese la ausencia total de fibrina que se tiñe de rojo con la coloración tricrómica, tal como se observa en el caso 108.5.
Prof.Garfia.A
Fig. 11.-Pulmón.
Trombos plaquetarios, de tipo ocluyente, asociados a microinfartos hemorrágicos. Prof. Garfia.A
Fig.13.-Pulmón.
Trombos plaquetarios, asociados a la compactación de la columna sanguínea, en las proximidades de un bronquiolo localizado a la derecha de la imagen. Prof.Garfia.A
Fig. 14.-Pulmón.Detalle de un trombo plaquetario ocluyente. Prof.Garfia.A
Fig. 15.-Pulmón.
Corte longitudinal de un vaso ocupado por un trombo plaquetario ocluyente. Prof.Garfia.A
Fig. 16.-Pulmón. Trombos plaquetarios ocupando parcialmente los vasos. Prof. Garfia.A
Fig. 17.- Pulmón.
En la fotografía destaca la presencia de un megacariocito, así como de numerosísimas plaquetas que aparecen como estructuras puntiformes, de color rosado. Prof.Garfia.A
La fotografía muestra la presencia de un megacariocito circulando a través de un capilar glomerular. Prof.Garfia.A
Fig. 20.-Riñón.
La pelvis y los cálices renales mostraban una inflamación aguda mediada por leucocitos polimorfonucleares.
Prof.Garfia.A
Fig.21.-Corazón.Vénula postcapilar.
Nótese la gran cantidad de leucocitos polimorfonucleares eosinófilos en la luz del vaso miocárdico (hallazgo sugestivo de la existencia del llamado Síndrome Anafilactoide del Embarazo). Prof.Garfia.A
MICROANGIOPATÍAS TROMBÓTICAS DEL EMBARAZO: RESUMEN Y DIAGNÓSTICO DIFERENCIAL.
Prof.Garfia.A |
Prof.Garfia.A |
Prof.Garfia.A Nota.- Donde dice "Hemólisis-enzimas", existe un error y se refiere al Síndrome HELLP que aparece con el nº 8. |
Prof.Garfia.A |
Prof.Garfia.A |
Prof.Garfia.A |
Prof.Garfia.A |
Prof.Garfia.A |
Prof.Garfia.A |
Prof.Garfia.A |
Prof.Garfia.A |
Prof.Garfia.A |
MUERTE INESPERADA SUBITA DURANTE EL EMBARAZO DEBIDA A INFARTO AGUDO DE MIOCARDIO.
Prof.Garfia.A |
Prof.Garfia.A |
Prof.Garfia.A |
Prof.Garfia.A |
Prof.Garfia.A |
Prof.Garfia.A |
( TC= TROMBOSIS CORONARIA)
BIBLIOGRAFIA
1.-Garfia.A.-
Muerte Súbita relacionada con el Embarazo y Parto en: Aspectos actuales de la Muerte Súbita Infantil y del Adulto. Curso de Especialización. Programa de Formación para Médicos Forenses en Andalucía. Noviembre, 1999. Consejería de Gobernación y Justicia. Dirección General de Recursos Humanos y Medios Materiales.
2.-Kemp,W.L. et al.,-
Death Due to Thrombotic Thrombocytopenic Purpura in Pregnancy.Case Report With Review of Thrombotic Microangiopathies of Pregnancy. Am J Forensic Med Pathol. Vol 20, nº 2. June 1999. pp.189-198.
3.-Khoo,U.S.,Dickens. P and Cheung A.N.Y.
Rapid death from thrombotic thrombocytopanic purpura following caesarean section. Forensic Sci Int. 1992. Apr; 54 (1):75-80.
4.-Bell MD,Barnhart JS Jr, and Martin JM.-
Thrombotic thrombocytopenic purpura causing sudden, unexpected death--a series of eight patients. J Forensic Sci 1990 May; 35(3): 601-613.
5.-Loewe, C.L. and Dragovic, L.J.
Acute Coronary Artery Thrombosis in a Postpartum Woman Receiving Bromocriptine. Am J Forensic Med Pathol. 19(3):258-260.1998.
xxxxxxxxxxxxxxxxxxxxxxxxxxx










