SUDDEN UNEXPECTED DEATH OF INFECTIOUS CAUSES IN CHILDREN IN FORENSIC PATHOLOGY (FULMINANT STREPTOCOCCAL SEPSIS): HISTOPATHOLOGICAL FINDINGS.
113.2.-
PLÖTZLICHER UNERWARTETER TOD DURCH INFEKTIONSKRANKHEITEN BEI KINDERN.
HISTOPATOLOGISCHEN BEFUNDEN IM FORENSISCHE PATHOLOGIE.
Prof.Garfia.A
113.2.-
MUERTE INESPERADA EN NIÑOS, DE ETIOLOGÍA INFECCIOSA, EN PATOLOGÍA FORENSE (SEPSIS ESTREPTOCÓCICA FULMINANTE).
HALLAZGOS HISTOPATOLÓGICOS.
Descripción del caso
Se trataba de una niña, de 4 años, que fue trasladada al Servicio de Urgencias de un Hospital de Referencia, en situación de parada cardiorrespiratoria, al parecer con estigmas de sepsis.
En el informe de asistencia hospitalaria consta que la paciente fue intubada y se iniciaron maniobras de resucitación. Avisado el anestesista de guardia se procedió a canalizar una vía femoral, por la que administraron los siguientes fármacos:
a) 80 ml de (HCO3) 1M en 80 ml de suero glucosado al 5%.
b) 20 mg de Lidocaína.
c) 120 mg de Dopamina en 100 ml de suero fisiológico administrado mediante bomba de perfusión.
d) 0.4 mg de Atropina.
e) 3 ampollas de adrenalina.
f) Hemoce ¿ transfusión?
Se procedió a la canalización de otra vía venosa en MMI.
Se describe que fue aplicado desfibrilador, en varias ocasiones, continuándose las maniobras de resucitación durante 45', transcurridos los cuales se abandonaron por exitus de la paciente.
Durante la estancia en Urgencias se procedió a realizar un hemocultivo que fue positivo para Streptococcus pneumoniae.
| Histopatología Forense Práctica blog 113.2.Foto 1 Prof. Garfia.A |
Fig.113.2.1.-Sepsis Estreptocócica. Glándula suprarrenal Adrenalitis hemorrágica aguda (Síndrome de Waterhouse-Friderichsen).
Las glándulas suprarrenales pesaron 18 g, conjuntamente. Al corte se encontraban ocupadas por un gran coágulo sanguíneo que borraba los detalles anatómicos de ambas glándulas.Prof.Garfia.A
| Histopatología Forense Práctica blog 113.2.Foto 2 Prof. Garfia.A |
Fig.-113.2.2.-Sepsis Estreptocócica. Glándula suprarrenal. Adrenalitis hemorrágica (Síndrome de Waterhouse-Friderichsen).
El examen microscópico demuestra, como en el caso anterior (ver caso 112.1), que la zona más intensamente afectada por la hemorragia es la fasciculada mientras que, tanto la zona glomerular como la reticular se encuentran menos afectadas, aunque presentan otros tipos de cambio.Prof.Garfia.A
| Histopatología Forense Práctica blog 113.2.Foto 3 Prof. Garfia.A |
Fig.112.2.3.-Sepsis Estreptocócica. Glándula suprarrenal. Adrenalitis hemorrágica (Síndrome de Waterhouse-Friderichsen).
En las áreas de corteza menos afectadas por la hemorragia se aprecia que existe un depósito de fibrina (teñido de rojo por la coloración tricrómica), que se encuentra aplicado sobre el endotelio vascular de los pequeños vasos y de los capilares sinusoides.Prof.Garfia.A
| Histopatología Forense Práctica blog 113.2.Foto 4 Prof. Garfia.A |
112.2.4.-Sepsis Estreptocócica. Glándula suprarrenal. Adrenalitis hemorrágica (Síndrome de Waterhouse-Friderichsen).
En la fotografía se puede ver que los depósitos de fibrina se encuentran localizados sobre el endotelio vascular dibujando el trayecto de los vasos que recorren la preparación verticalmente.Prof.Garfia.A
| Histopatología Forense Práctica blog 113.2.Foto 5 Prof. Garfia.A |
112.2.5.-Sepsis Estreptocócica. Glándula suprarrenal. Adrenalitis hemorrágica (Síndrome de Waterhouse-Friderichsen).
Trombo de fibrina en una vena medular. Coagulación Intravascualr Diseminada (CID).Prof.Garfia.A
| Histopatología Forense Práctica blog 113.2.Foto 6 Prof. Garfia.A |
113.2.6.-Sepsis Estreptocócica. Síndrome de Waterhouse-Friderichsen.Riñón. Figura de mitosis en el epitelio tubular.
La presencia de mitosis -o la acumulación de núcleos en el epitelio tubular, fundamentalmente, distal- son signos de regeneración tubular que indican una lesión tubular previa, tal como ocurre en la necrosis tubular aguda del riñón de shock (Nótese la ausencia de núcleos celulares en amplias zonas del epitelio tubular).Prof.Garfia.A
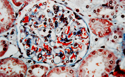
| Histopatología Forense Práctica blog 113.2.Foto 7 Prof. Garfia.A |
Fig.113.2.7. Sepsis estreptocócica. Riñón. Glomérulo. CID.
Existen numerosos trombos de fibrina en el interior de los capilares glomerulares.
Prof.Garfia.A
| Histopatología Forense Práctica blog 113.2.Foto 8 Prof. Garfia.A |
Fig. 113.2.8. Sepsis estreptocócica. Riñón de shock. Glomérulo.
Coagulación Intravascular Diseminada. (CID). Trombos de fibrina teñidos de color rojo intenso.
Prof.Garfia.A
| Histopatología Forense Práctica blog 113.2.Foto 9 Prof. Garfia.A |
Fig.113.2.9. Sepsis estreptocócica. Hígado.
Llama la atención el patrón de lesión hepática que se observa en la fotografía. En ella se puede comprobar que el problema afecta al área 1 del acino hepático de Rapapport y el trastorno parece de tipo vascular -existe una marcada dilatación de los sinusoides periportales que se extiende por el área 1 hacia otros espacios portales, provocando un puenteo porto-portal de la alteración vascular. Se podría pensar que el trastorno es secundario al shock séptico (hígado de choque); sin embargo, se sabe que los tratornos hepáticos shock-dependientes adoptan otro patrón morfológico microscópico diferente. Según Janssen, la lesión hepatica shock dependiente es una necrosis hepatocitaria que se presenta adoptando dos patrones morfológicos distintos:a) la necrosis de hepatocitos aislados o de pequeños grupos (zonal o grupal) y b) la necrosis centrolobulillar que afecta a los hepatocitos del área 3 y que puede llegar a constituir una necrosis centrolobulillar confluente -con puenteo centro-central.
Prof.Garfia.A
| Histopatología Forense Práctica blog 113.2.Foto 10 Prof. Garfia.A |
Fig.113.2.10.-Sepsis estreptocócica. Hígado. Vena centrolobulillar.
La fotografía muestra el severo edema hemorrágico localizado alrededor de las venas centrolobulillares, así como en las paredes de los capilares sinusoides pericentrales.Prof. Garfia. A
| Histopatología Forense Práctica blog 113.2.Foto 11 Prof. Garfia.A |
Fig.113.2.11.- Sepsis estreptocócica. Hígado. Espacio porta.
Muestra el gran edema hemorrágico portal y periportal que provoca atrofia por compresión de los hepatocitos localizados en la denominada "membrana limitante" del espacio porta.
Prof.Garfia.A
| Histopatología Forense Práctica blog 113.2.Foto 12 Prof. Garfia.A |
Fig.113.2.12.-Sepsis estreptocócica. Hígado. Parénquima hepático periportal. Hemorragia sinusoidal.
El área afectada por la hemorragia sinusoidal, en las proximidades de un espacio porta, presenta un cambio de aspecto seudopeliótico. Las láminas hepatocitarias limitantes del derrame se encuentran afectadas por una atrofia por compresión.
Prof. Garfia.
LOS CAMBIOS VASCULARES HEPÁTICOS OBSERVADOS NO PUEDEN SER ATRIBUÍDOS A UNA HEPATOPATÍA SHOCK DEPENDIENTE Y PENSAMOS QUE SEAN, PROBABLEMENTE, SECUNDARIOS A LA APLICACIÓN DE MANIOBRAS ENÉRGICAS DE RESUCITACIÓN CARDIOVASCULAR, INCLUIDOS EL MASAJE CARDIACO Y LOS EFECTOS DE LA APLICACIÓN DEL DESFIBRILADOR, SOBRE EL HÍGADO.
XXXXXXXXXXXXXXXXXXXXXXXXXXXXXX
