DEATH DUE TO HONEYBEE STINGS IN FORENSIC MEDICINE.
"
"
| Prof. Garfia.A |
CASO A
DESCRIPCIÓN DEL CASO
1.-Antecedentes personales
Se trataba de un varón, de 58 años de edad, militar, que padecía diabetes mellitus no insulino dependiente, desde hacía algunos años, así como asma bronquial y ¿¿¿bronquitis asmática??? en la época del fallecimiento.
2.-Circunstancias de la muerte
El individuo fue encontrado cadáver, en el interior de un cuarto de aperos de labranza, en su domicilio.
Durante el levantamiento del cadáver, el médico forense apreció unas 20 picaduras de abeja (aguijones), aproximadamente, incrustados en la piel de ambos brazos, la cara, y la espalda.
3.-Informe de Autopsia
En la autopsia se describió la existencia de una congestión visceral generalizada, así como abundantes tapones de moco en la tráquea y en los bronquios; se constató la presencia de un edema agudo de pulmón.
Se emitió, por el médico forense, un diagnóstico provisional de Shock Anafiláctico por Reacción Alérgica a Múltiples Picaduras de Abeja, a la espera de los resultados del estudio histopatológico y de la analítica sanguínea.
AGUIJÓN DE ABEJA
| PROF.GARFIA. 123.1.-A |
123.1.A.-Fig.1.-Muerte súbita por picadura de abeja. Aguijón.
AGUIJÓN INCOMPLETO
123.1A.-Fig.1A.-Muerte súbita por picadura de abeja. Aguijón parcial.
Aguijón penetrando en la piel del sujeto. El estilete del aguijón -que se encuentra acanalado a lo largo de su longitud y es visible en su extremo distal- presenta un fuerte engrosamiento bulbar proximal.
A la derecha del aguijón se observa una lámina de epidermis que se levanta hacia la zona del bulbo.
Prof. Garfia.AAGUIJÓN INCOMPLETO
| Prof. Garfia.A 123.1.- A |
Los cortes de la piel fueron realizados a 4 micras de grosor por lo que el diámetro del aguijón es mayor de 4. Tuvimos la gran suerte de conseguir un corte "in toto" del aguijón, mostrado en la fotografía anterior. En la búsqueda exhaustiva realizada en la literatura científica no he encontrado una fotografía similar; esquemas del aguijón y sus anejos se pueden encontrar en la red. Esta fotografía "morfológicamente incompleta" la subo para que pueda servir "a efectos de identificación" cuando no se pueda conseguir un aguijón completo. A la derecha del aguijón se observa el despegamiento de una lámina epidérmica, que se dirige hacia arriba, en dirección a la base del aguijón.
Prof. Garfia.A
Prof. Garfia.A
| PROF.GARFIA.A 123.1.-A |
123.1A.-Fig.2.-Muerte súbita por picadura de abeja. Aguijón. Aparato eyector.
En la fotografía se distinguen todos los componentes del aparato de soporte del aguijón, incluída la glándula productora del veneno, los músculos eyectores del aguijón y un segmento de intestino -teñido de azul- en la parte superior.
Prof. Garfia.A| PROF.GARFIA.A 123.A |
123.1A.-Fig.3.-.-Muerte súbita por picadura de abeja.
Detalle del aparato proyector del aguijón, de la glándula del veneno y de los músculos proyectores.
Prof.Garfia.A
Prof.Garfia.A
![]() |
| PROF.GARFIA.A 123.1A |
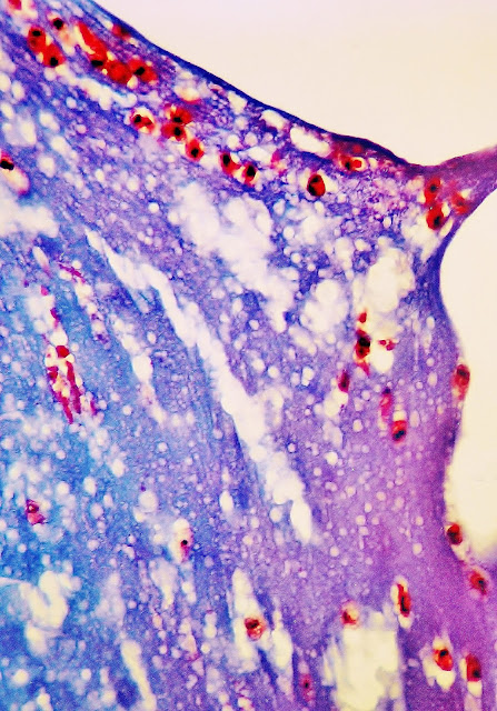
123.1A.-Fig.4.-.-Muerte súbita por picadura de abeja. Piel de la zona de la picadura. Corte perpendicular. Microscópico.
En la piel subyacente a la zona de la picadura se pueden observar focos múltiples de hemorragia, localizados en la dermis profunda y en la hipodermis, así como áreas extensas de edema intersticial.
Prof.Garfia.A| PROF.GARFIA.A 123.1A |
123.1A.-Fig.5.-.-Muerte súbita por picadura de abeja. Hipodermis.
Se distingue una hemorragia perivenular en la grasa hipodérmica, así como edema intersticial. Se piensa que el veneno de abeja posee propiedades tóxicas directas sobre los endotelios.
Prof.Garfia.AMOCO TRAQUEAL
| PROF.GARFIA.A 123.1A |
123.1A.-Fig.6.-Muerte súbita por picadura de abeja. Tráquea. Moco traqueal. Eosinófilos.
La luz traqueal presentaba abundante moco que -al examen microscópico- mostraba la composición que se observa en la fotografía, expresiva de la naturaleza anafiláctica de la muerte del sujeto.
El moco -teñido de azul- se encuentra perforado por abundantes burbujas de aire, de diferentes tamaños. En el seno del tapón de moco se detectan numerosos leucocitos polimorfonucleares, eosinófilos, cuyos núcleos se tiñen de color negro -por la hematoxilina férrica- y de rojo intenso, los citoplasmas, por la fuchsina.
Prof.Garfia.A
MOCO TRAQUEAL/ALINEAMIENTO DE EOSINÓFILOS
| PROF.GARFIA.A 123.1A |
123.1A.-Fig.7.-.-Muerte súbita por picadura de abeja. Moco laringo-traqueal. Eosinófilos alineados.
Es constante, en los procesos alérgicos tráqueo-bronquiales, la presencia de leucocitos polimorfonucleares eosinófilos que muestran la tendencia a la alineación que se observa en el borde superior de la fotografía. Muchos de ellos se encuentran en proceso de eliminación del núcleo celular para convertirse en cristales de Charcot-Leyden en el seno del moco. En alguno de ellos es posible apreciar la típica forma del núcleo en "Lentes de Quevedo".
Prof. Garfia.A
MOCO TRAQUEAL/EOSINÓFILOS/CUASI CRISTALES DE CHARCOT-LEYDEN.
123.1A.Fig.8.-.-Muerte súbita por picadura de abeja.
Moco laringo-traqueal y eosinófilos.
Intensamente teñido de azul, el moco muestra su densa consistencia (expresada por la intensidad de la tinción), e incluye a eosinófilos, alineados en el sentido longitudinal de la hebras del moco y en proceso de expulsión del núcleo, algunos de ellos. Prof. Garfia.A
MOCO TRAQUEAL/CUERPO DE CREOLA
| PROF.GARFIA.A 123.1A |
123.1A.-Fig.9.-.-Muerte súbita por picadura de abeja. Moco laringo-traquel. Cuerpo de Creola.
La fotografía enseña la estructura de un Cuerpo de Creola, plegado sobre sí mismo y rodeado de restos de sangre, embebido en el tapón de moco. Los agujeros claros, ópticamente vacíos, corresponden a burbujas de aire.
Los Cuerpos de Creola están formados por fragmentos de láminas epiteliales, desprendidos de la membrana basal epitelial, durante una intensa respuesta inflamatoria (gran congestión y edema del corion de la mucosa, seguido de anoxia tisular, que provoca rotura del aparato de anclaje de las células epiteliales, a la membrana basal y a las células vecinas a través de desmosomas), tal como sucedió en este caso.
Prof. Garfia.A
LA LARINGE
Los Cuerpos de Creola están formados por fragmentos de láminas epiteliales, desprendidos de la membrana basal epitelial, durante una intensa respuesta inflamatoria (gran congestión y edema del corion de la mucosa, seguido de anoxia tisular, que provoca rotura del aparato de anclaje de las células epiteliales, a la membrana basal y a las células vecinas a través de desmosomas), tal como sucedió en este caso.
Prof. Garfia.A
LA LARINGE
| Prof. Garfia.A 123.1A |
123.1A.-Fig.10.-.-Muerte súbita por picadura de abeja. Epiglotis. Huella de presión de las glándulas laríngeas sobre el cartílago.
La imagen constituye una evidencia de que el sujeto se encontraba afectado por un proceso inflamatorio crónico laringo-tráqueo-bronquial, que cursaba con aumento del número y del tamaño de las glándulas (hiperplasia e hipertrofia) localizadas en la vía respiratoria extrapulmonar. El corte procede del cartílago epiglótico y muestra cómo la hipertrofia y la hiperplasia glandular provocan una compresión del cartílago, y su deformación, debido a la presión ejercida por las glándulas aumentadas en número y tamaño, sobre el pericondrio. Los pliegues aritenoepiglóticos laríngeos mostraban edema moderado.
Prof. Garfia.A
ANAFILAXIA.
EL COMPARTIMENTO VASCULAR PULMONAR.
HALLAZGOS MORFOLÓGICOS DE SHOCK.
| Prof. Garfia.A 123.1A |
123.1A.-Fig.11.-.-Muerte súbita por picadura de abeja. Vasos pulmonares. Congestión intensa. Trombos plaquetarios.
En la fotografía se advierte una severa congestión vascular que se acompaña de espesamiento de la columna de hematíes y de la presencia de trombos plaquetarios en la luz de un vaso.
Prof. Garfia.A
EL PULMÓN
ENFISEMA PULMONAR SUBPLEURAL
| Prof. Garfia.A 123.1A |
123.1A.-Fig.12.-Muerte súbita por picadura de abeja.Pulmón.
La fotografía corresponde a focos subpleurales de enfisema bulloso, aunque el órgano presentaba un patrón de enfisema de tipo obstructivo. Prof. Garfia.A
EXUDADO BRONQUIOLAR EOSINOFÍLICO
(BRONQUIOLITIS EOSINOFÍLICA).
| Prof. Garfia.A 123.1A |
123.1A.-Fig.13.-Muerte súbita por picadura de abeja.Pulmón. Bronquiolo.
Aunque la muestra se encuentra muy artefactuada -por haber sido congelada antes de su envío- la imagen parece corresponder a una sección transversal de un bronquiolo, cuya luz contiene una masa compacta-paquete celular- constituida por leucocitos polimorfonucleares eosinófilos (bronquiolitis alérgica). Prof. Garfia.A
| Prof. Garfia.A 123.1A |
Detalle de la fotografía anterior que muestra la naturaleza polimorfonuclear eosinófila del tapón celular bronquiolar.
Prof. Garfia.A
123.1 CASO B.-
DEATH DUE TO HONEYBEE STING IN FORENSIC MEDICINE.
REPORT OF A FATAL CASE IN A -NON ASTHMATIC BUT ALLERGIC- PATIENT TO BEE STINGS.
HISTOPATHOLOGICAL FINDINGS.
HISTOPATHOLOGICAL FINDINGS.
PROF.GARFIA.A
123.1 CASO B.-
B.-DESCRIPCIÓN DEL CASO
B.-1.-Antecedentes personales
B 4.- Los Hallazgos Histopatológicos en
Imágenes.
B4. 1.- La piel de la zona de la picadura.
B4.2.-LA LARINGE DESPUÉS DE LA FIJACIÓN EN FORMOL.
123.1.B.-Foto 5.-Muerte por picadura de abeja en sujeto alérgico. Laringe. Corte microscópico.Hemorragias.
En algunas áreas laríngeas se podían identificar hemorragias microscópicas focales, en el corion de la mucosa, además del edema. Prof. Garfia.A
123.1.B.-Foto 6.-Muerte por picadura de abeja en sujeto alérgico. Laringe. Corte microscópico.
Detalle de la fotografía anterior que muestra las hemorragias multifocales en el corion de la mucosa laríngea. Prof. Garfia.A
LA TRÁQUEA
123.1.B.-Foto 7.-Muerte por picadura de abeja en sujeto alérgico.Tráquea. Corte transversal.
Nótese la ausencia completa del epitelio traqueal y la presencia del foco de hemorragia en el corion de la mucosa. Prof.Garfia.A
123.1.B.-Foto 8.-Muerte por picadura de abeja en sujeto alérgico.Tráquea. Corte transversal. Detalle de la Fig. 7.
Denudamiento del epitelio y foco hemorrágico en el corion de la mucosa traqueal.
Prof. Garfia.A
LOS PULMONES
123.1.B.-Foto. 9.-Muerte por picadura de abeja en sujeto alérgico. Pulmón.Microscópico.
"LOS HALLAZGOS PULMONARES HABITUALES EN LA ANAFILAXIA PULMONAR".
LA NECESIDAD DEL DIAGNÓSTICO DIFERENCIAL CON EL ASMA BRONQUIAL EN FASE AGUDA (STATUS ASTHMATICUS).
123.1.B.-Foto. 10.-Pulmón. Bronquiolo. Picadura de abeja fatal.
123.1.B.-Foto. 11.-Pulmón.Bronquiolo. Picadura de abeja fatal.
Tapón bronquiolar, de tipo mixto, mucocelular, impactado.
EL DETALLE DE LA FIG.10
En la foto detallada se aprecia el moco en el centro, las burbujas de aire -atrapado dentro de él- y la descamación celular epitelial severa en forma de células aisladas, o de láminas pluricelulares todavía ancladas por los desmosomas laterales. Además, se observan algunas células inflamatorias (macrófagos y linfocitos).
Prof. Garfia.A
123.1 CASO B.-
MUERTE SÙBITA DEBIDA A PICADURA DE ABEJA EN UN SUJETO CON ANTECEDENTES DE ALERGIA A DICHO VENENO, SIN ANTECEDENTES DE ASMA BRONQUIAL.
HALLAZGOS HISTOPATOLÓGICOS EN UN CASO LEGAL.
PROF.GARFIA.AB.-DESCRIPCIÓN DEL CASO
B.-1.-Antecedentes personales
Se trataba de un varón, de 44 años de edad, casado y con dos hijos, que trabajaba como guarda de una finca del Sur de Andalucía.
Entre los antecedentes cabe destacar que el sujeto padecía de hipertensión arterial y diabetes, no insulino-dependiente.
Refiere la familia que, en la adolescencia, sufrió la primera picadura de una abeja, en la frente, y que desarrolló un intenso edema en la cara por lo que recibió asistencia médica. El médico que le atendió le comentó que tuviese mucha precaución con las picaduras, pues era alérgico.
Unos años más tarde sufrió una segunda picadura, en un brazo, que le provocó pérdida de conocimiento, seguida de relajación de esfínteres. Refiere la familia que estuvo ingresado en una UCI, al borde de la muerte. Comentaron que el fallecido siempre tenía Urbasón en su casa, pero no solía llevarlo encima.
B.-2.-Las circunstancias de la muerte:
La versión del testigo.
La versión del testigo.
Un día del mes de Agosto, el fallecido salió de su casa en compañía de su hijo, de 15 años, para dirigirse a un lugar de la finca, donde había venados, "al objeto de llevarles algo de comida". Eran, aproximadamente, las 21 horas. Refiere el hijo que -cuando estaban llegando al final del trayecto- su padre se notó algo dentro de la camisa y, muy nervioso, se llevó la mano al cuello dándose un manotazo. Una abeja cayó al lado del hijo, el cual la pisó. Acto seguido, el fallecido se bajó del coche y se dirigió hasta una charca, mojándose "la cara, el cuello y los brazos" y -después de dar unos pasos- se llevó las manos al cuello, se puso muy morado, y comenzó a sacar espuma por la boca, cayendo al suelo muerto. El chico, alarmado ante la falta de respuesta de su padre, solicitó ayuda al guarda de una finca vecina que - al personarse en el lugar de los hechos- encontró al padre cadáver y procedió a su traslado al domicilio de la víctima, desde donde la familia procedió a contactar con el 062. El Servicio Sanitario de Emergencias certificó la defunción.
B.-3.-La Autopsia Médico Legal.
B.3.1 Examen cadavérico externo
Los fenómenos cadavéricos se encontraban plenamente establecidos. El cadáver presentaba livideces en regiones dorsales, así como rigidez cadavérica instaurada en todo el cuerpo e importante inyección vascular conjuntival. Existía intensa cianosis en la parte superior del tórax, el cuello, la cara y los pabellones auriculares. En la región lateral derecha del cuello se detectó una pequeña induración -que poseía una puntura central- de la que se extrajo un cuerpo extraño que fue identificado como un aguijón de abeja.
B.3.2 El Examen Cadavérico Interno
En el examen interno destacaba la intensa congestión pulmonar, con salida de abundante líquido espumoso a la expresión ligera. El corazón pesó 390 g. En el resto de los órganos se constató una intensa congestión vascular.
B.3.1 Examen cadavérico externo
Los fenómenos cadavéricos se encontraban plenamente establecidos. El cadáver presentaba livideces en regiones dorsales, así como rigidez cadavérica instaurada en todo el cuerpo e importante inyección vascular conjuntival. Existía intensa cianosis en la parte superior del tórax, el cuello, la cara y los pabellones auriculares. En la región lateral derecha del cuello se detectó una pequeña induración -que poseía una puntura central- de la que se extrajo un cuerpo extraño que fue identificado como un aguijón de abeja.
B.3.2 El Examen Cadavérico Interno
En el examen interno destacaba la intensa congestión pulmonar, con salida de abundante líquido espumoso a la expresión ligera. El corazón pesó 390 g. En el resto de los órganos se constató una intensa congestión vascular.
B 4.- Los Hallazgos Histopatológicos en
Imágenes.
B4. 1.- La piel de la zona de la picadura.
| PROF. GARFIA.A 123.1 B |
123.1 B.-Foto 1.- En la zona de puntura existe una hemorragia localizada en el tejido adiposo, por debajo del músculo cutáneo del cuello. Prof. Garfia.A
| PROF. GARFIA.A 123.1 B |
123.1 B.-Foto 2.- Piel del cuello. Detalle de la hemorragia que se localiza en las proximidades de un vaso. Prof. Garfia.A
B4.2.-LA LARINGE DESPUÉS DE LA FIJACIÓN EN FORMOL.
| PROF.GARFIA.A 123.1B |
123.1 B.-Foto 3.- Muerte por picadura de abeja en sujeto alérgico. Laringe. Cara posterior.
Mostrando edema moderado, no obstructivo, que afecta a los pliegues aritenoepiglóticos y a la epiglotis. Hay que tener en cuenta que la fijación en formol provoca una cierta pérdida de líquido tisular por lo que el aspecto macroscópico del edema laríngeo detectado durante la autopsia es más prominente.
Prof. Garfia.A
LA LARINGE. VISIÓN MICROSCÓPICA
Prof. Garfia.A
LA LARINGE. VISIÓN MICROSCÓPICA
| PROF.GARFIA.A 123.1B |
123.1.B.-Foto.4.-Muerte por picadura de abeja en sujeto alérgico. Laringe. Corte microscópico. Edema importante. Fragmentación de las fibras de colágeno.
Inmediatamente por debajo del epitelio, el corion de la mucosa laríngea presenta un intenso edema que provoca la ruptura y la desorganización de las fibras de colágeno. Nótese la pobreza del componente celular en el edema anafiláctico. Cuando se compara esta imágen con las de las laringitis infecciosa se comprende porqué el edema anafiláctico es blando, depresible y no indurado al contrario de lo que sucede en las laringitis/epiglotitis infecciosas fatales. Prof. Garfia.A
Inmediatamente por debajo del epitelio, el corion de la mucosa laríngea presenta un intenso edema que provoca la ruptura y la desorganización de las fibras de colágeno. Nótese la pobreza del componente celular en el edema anafiláctico. Cuando se compara esta imágen con las de las laringitis infecciosa se comprende porqué el edema anafiláctico es blando, depresible y no indurado al contrario de lo que sucede en las laringitis/epiglotitis infecciosas fatales. Prof. Garfia.A
| PROF.GARFIA.A 123.1B |
En algunas áreas laríngeas se podían identificar hemorragias microscópicas focales, en el corion de la mucosa, además del edema. Prof. Garfia.A
| PROF.GARFIA.A 123.1B |
Detalle de la fotografía anterior que muestra las hemorragias multifocales en el corion de la mucosa laríngea. Prof. Garfia.A
| PROF. GARFIA.A 123.1 B |
Nótese la ausencia completa del epitelio traqueal y la presencia del foco de hemorragia en el corion de la mucosa. Prof.Garfia.A
| 123.1 B PROF. GARFIA.A |
Denudamiento del epitelio y foco hemorrágico en el corion de la mucosa traqueal.
Prof. Garfia.A
LOS PULMONES
| PROF.GARFIA.A 123.1B |
Mostrando una severa congestión vascular -en el lecho vascular pulmonar- que se acompaña de edema y de hemorragia alveolar en focos (multifocal).
Prof. Garfia.A
PULMONES: MICROSCÓPICO.
BRONQUIOLO EN CORTE LONGITUDINAL.
BRONQUIOLO EN CORTE LONGITUDINAL.
"LOS HALLAZGOS PULMONARES HABITUALES EN LA ANAFILAXIA PULMONAR".
LA NECESIDAD DEL DIAGNÓSTICO DIFERENCIAL CON EL ASMA BRONQUIAL EN FASE AGUDA (STATUS ASTHMATICUS).
| PROF.GARFIA.A 123.1 B |
Dos hechos reclaman atención en esta imagen microscópica pulmonar:
1.-La intensísima congestión vascular es tal que los capilares alveolares repletos de sangre dibujan y delimitan, a la perfección, a los alveolos.
2.-La imagen se encuentra atravesada por un bronquiolo, en sección longitudinal, que discurre desde las 4 hasta las diez de la esfera horaria (o al revés).
Lo que realmente llama la atención en este bronquiolo es que el epitelio bronquiolar ha sido expulsado y/o desprendido en su totalidad, hacia la luz, en forma de células aisladas o de pequeñas láminas constituidas por varias células epiteliales unidas (Cuerpos de Creola).
Además, en el centro de la luz del bronquiolo se detectan hebras de moco, teñidas de color azulado.
Los cambios morfológicos que se observan en el epitelio bronquial/bronquiolar después de un daño agudo son similares a los observados en la mucosa nasal y traqueal. Estos cambios se han estudiado detalladamente en animales de laboratorio sometidos a la inhalación de gases tóxicos, expuestos a infecciones virales, o causados por daño mecánico inducido por cepillado. Los resultados de estos estudios han demostrado que,
independientemente de la etiología, las alteraciones celulares y la respuesta al daño son esencialmente las mismas. El daño celular se manifiesta primero por un proceso degenerativo en donde el citoplasma se hincha (cell swelling) o toma apariencia
vacuolada, lo que generalmente va seguido por una rápida pérdida del anclaje a la membrana basal (a la que se encuentran unidas por desmosomas). Esta pérdida de anclaje propicia que las células afectadas se desprendan fácilmente y se exfolien hacia la luz bronquial. Ejemplos de esta forma de degeneración celular se observan en la mayoría de las infecciones virales respiratorias. La degeneración celular en los bronquios tiene, frecuentemente, una distribución linear similar a la que se observa en la mucosa nasal y traqueal después de un daño. La razón de esta linearidad no se conoce pero está probablemente relacionada con el ciclo celular. O sea que, células en alguna de las fases G0, G1, S o G2 pueden ser especialmente vulnerables al daño. Estudios experimentales indican que la pérdida de anclaje (por daño desmosómico), no solo ocurre cuando hay degeneración celular sino también cuando los procesos inflamatorios afectan negativamente a los mecanismos normales de adhesión celular que existen entre las células basales y ciliares (anoxia tisular en los procesos alérgicos y/o inflamatorios de otra etiología). Estos mecanismos de adhesión celular están regulados por moléculas de superficie como la E-caderina, la alfa-catenina, la beta-catenina, y la placoglobina.
| PROF. GARFIA.A 123.1 B |
Tapón bronquiolar, de tipo mixto, mucocelular, impactado.
EL DETALLE DE LA FIG.10
En la foto detallada se aprecia el moco en el centro, las burbujas de aire -atrapado dentro de él- y la descamación celular epitelial severa en forma de células aisladas, o de láminas pluricelulares todavía ancladas por los desmosomas laterales. Además, se observan algunas células inflamatorias (macrófagos y linfocitos).
Prof. Garfia.A
| PROF. GARFIA.A 123.1 B |
123.1.B.-Foto.12.-Pulmón.Bronquiolo. Picadura de abeja fatal.
Tapón bronquiolar, de tipo mixto, mucocelular impactado.Lo que llama la atención en esta fotografía son dos cosas:
1.-La gran cantidad de células epiteliales respiratorias desprendidas en la luz del bronquiolo -embebidas en una gran cantidad de moco- de color rosado.
2.-En el centro de la imagen se puede ver el alineamiento (en fila de a uno, como en el ejército), de leucocitos polimorfonucleares eosinófilos, embebidos en el moco.
Prof. Garfia.A
| Prof. Garfia.A |
123.1.B.-Foto. 13.-Pulmón.Bronquiolo. Picadura de abeja fatal.
Detalle de la fotografía anterior para observar la típica disposición de alineamiento de los leucocitos eosinófilos -en fila de a uno- y colocados en el sentido de las hebras del moco en el que se encuentran embebidos.
Prof. Garfia.A
Para el Diagnóstico Diferencial Microscópico
SI ME PREGUNTASEN POR LA DIFERENCIA EXISTENTE ENTRE ESTE CUADRO MORFOLÓGICO Y EL QUE SE OBSERVA EN EL PULMÓN DE UN SUJETO FALLECIDO A CONSECUENCIA DE UN ATAQUE AGUDO DE ASMA BRONQUIAL DIRÍA, SIN LUGAR A DUDAS, QUE EN EL ASMA AGUDA NO EXISTE ESTE IMPORTANTE FENÓMENO DE DESPRENDIMIENTO EPITELIAL, TAN SEVERO, COMO EL QUE TIENE LUGAR EN LAS MUERTES POR ANAFILAXIA A PICADURAS DE HIMENÓPTEROS.
TODO ELLO, INDEPENDIENTEMENTE DE LOS CAMBIOS MORFOLÓGICOS QUE SE OBSERVAN EN LOS PULMONES DE LOS INDIVIDUOS ASMÁTICOS TALES COMO:
ENGROSAMIENTO DE MEMBRANAS BASALES, HIPERTROFIA DE LA MUSCULAR, HIPERPLASIA GLANDULAR, DIVERTÍCULOS EPITELIALES, ETC).
ESTO HACE PENSAR QUE EL MECANISMO DE ACCIÓN TÓXICA ES DIFERENTE EN EL ASMA QUE EN EL SHOCK RESPIRATORIO DESENCADENADO POR EL VENENO DE HIMENÓPTEROS. TENDREMOS OCASIÓN DE COMPROBAR, EN UNA FOTOGRAFÍA DE OTRO CASO, CÓMO SE PRODUCE EL DESPEGAMIENTO CELULAR DE LA MEMBRANA BASAL BRONQUIAL Y BRONQUIOLAR, A TRAVÉS DE LA FORMACIÓN DE VACUOLAS EN EL POLO BASAL DE LAS CÉLULAS CILIADAS.
"SE PODRÍA ESPECULAR CONQUE EL VENENO DE HIMENÓPTEROS ES CITOTÓXICO PARA EL EPITELIO RESPIRATORIO, MIENTRAS QUE LAS NOXAS DESENCADENANTES DE UN ATAQUE AGUDO DE ASMA ACTUARÍAN SOBRE LAS GLÁNDULAS SERO-MUCOSAS Y LAS CÉLULAS CALICIFORMES, ESTIMULANDO LA PRODUCCIÓN DE MOCO".
| PROF. GARFIA.A 123.1 B |
123.1.B.-Foto. 13.-Pulmón. Compartimento vascular. Picadura de abeja fatal.
En la luz vascular se detectan numerosos agregados/trombos plaquetarios, shock dependientes. Prof. Garfia.A
| PROF. GARFIA.A 123.1 B |
Las hemorragias microscópicas subpleurales -a la derecha de la fotografía- descritas clásicamente como marcadores de asfixia tisular (las denominadas equimosis punteadas de Tardieu en el examen macroscópico) .
Prof. Garfia.A
Diagnósticos finales y discusión
123.1.B.-Foto. 14. (diapositiva 1).
El diagnóstico postmortem de Muerte por Anafilaxia es muy difícil si no se cuenta con la presencia de testigos.
En ausencia de testigos, es necesario excluir otras causas de muerte súbita respiratoria y/o circulatoria y contar con los resultados de diversas investigaciones:
En ausencia de testigos, es necesario excluir otras causas de muerte súbita respiratoria y/o circulatoria y contar con los resultados de diversas investigaciones:
1.-Historia médica de antecedentes alérgicos.
2.-Autopsia completa, con especial hincapié en el examen de la laringe (atención muy especial al examen de los pliegues aritenoepiglóticos) y del árbol tráqueobronquial.
3.-Toma de muestras adecuadas y abundantes de los órganos diana de la anafilaxia, en caso de muerte por insuficiencia respiratoria aguda.
3.-Estudio histopatológico completo para descartar otras causas de muerte súbita (en especial, de causa respiratoria como el asma bronquial en fase aguda: (diag. dif. con status asthmaticus).
4.-Estudio de Marcadores Bioquímicos Sanguíneos de Anafilaxia Fatal.
(Toma de sangre en la vena femoral).
4.1.- IgE total
4.2.-IgE específica (para veneno de abeja, avispa, etc).
4.3.-Beta triptasa que es liberada por la degranulación de las células cebadas. Niveles altos de beta triptasa indican una degranulación y soportan el diagnóstico de muerte anafiláctica.
4.4.-Alfa-triptasa (la relación entre triptasa total (alfa+beta) y beta triptasa es importante para distinguir entre una muerte por anafilaxia y la posibilidad de que se tratara de un cadáver afecto de mastocitosis sistémica. Una relación por debajo de 10 indica que existió una anafilaxia, mientras que una relación por debajo de 20 sugiere una mastocitosis sistémica. Los niveles de triptasa sérica alcanzan su pico plasmático muy rápidamente, en las dos o tres primeras horas y se mantienen altos durante 5-6 horas. Los niveles altos de beta triptasa sugieren una degranulación de las células cebadas o mastocitos y soportan el diagnóstico postmortem de Anafilaxia Fatal.
4.5.-Quimasa (proteína sérica que se almacena en los gránulos de las células cebadas).
4.6.-Histamina.-Marcador válido "in vivo", pero que posee una vida media muy corta ( 2 minutos).
4.-Estudio de Marcadores Bioquímicos Sanguíneos de Anafilaxia Fatal.
(Toma de sangre en la vena femoral).
4.1.- IgE total
4.2.-IgE específica (para veneno de abeja, avispa, etc).
4.3.-Beta triptasa que es liberada por la degranulación de las células cebadas. Niveles altos de beta triptasa indican una degranulación y soportan el diagnóstico de muerte anafiláctica.
4.4.-Alfa-triptasa (la relación entre triptasa total (alfa+beta) y beta triptasa es importante para distinguir entre una muerte por anafilaxia y la posibilidad de que se tratara de un cadáver afecto de mastocitosis sistémica. Una relación por debajo de 10 indica que existió una anafilaxia, mientras que una relación por debajo de 20 sugiere una mastocitosis sistémica. Los niveles de triptasa sérica alcanzan su pico plasmático muy rápidamente, en las dos o tres primeras horas y se mantienen altos durante 5-6 horas. Los niveles altos de beta triptasa sugieren una degranulación de las células cebadas o mastocitos y soportan el diagnóstico postmortem de Anafilaxia Fatal.
4.5.-Quimasa (proteína sérica que se almacena en los gránulos de las células cebadas).
4.6.-Histamina.-Marcador válido "in vivo", pero que posee una vida media muy corta ( 2 minutos).
123.1.B.-Foto. 15. (diapositiva 2).
Efectivamente, conocer los antecedentes del sujeto se hace, la mayoría de las veces, una tarea titánica. Esto es más frecuente que suceda en Patología Forense. La relación de estas muertes con la Justicia y con el Juez, hace que los posibles testigos, familiares, etc, adopten una posición muy reservada respecto a los hechos ocurridos y a los antecedentes del sujeto. Otra historia es la catatimia propia de todos nosotros -especialmente cuando se refiere a la muerte inesperada de uno de nuestros seres queridos- que nos impide observar la realidad, tal como es, no deformada por las emociones.
Los tiempos de latencia, en Patología Toxicológica y Experimental, constituyen un dato muy importante a tener en cuenta en el diagnóstico diferencial.
Se pueden tomar diferentes patrones de latencias, pero uno de los más importantes es el intervalo transcurrido entre el acontecimiento desencadenante y la aparición de los primeros síntomas y/o la muerte. En las muertes anafilácticas, debidas a picaduras de himenópteros, este tiempo suele ser muy breve, de minutos, entre la picadura y la muerte.
Prof. Garfia.A
123.1.B.-Foto 17.-Diapositiva 4.-
Naturalmente, el cuadro clínico por anafilaxia depende de los órganos diana del veneno de himenóptero.
Es de esperar, por lo tanto, que los órganos afectados lo sean a causa de los mediadores químicos liberados durante la respuesta anafiláctica.
Prof. Garfia.A| Prof. Garfia.A |
123.1.B.-Foto 18.-(diapositiva 5).
Claro está que los hallazgos descritos en humanos se han referido a la laringe y al pulmón (anafilaxia respiratoria/shock respiratorio). Esto es debido a que los cambios en el compartimento vascular (shock vascular anafiláctico), son difíciles de visualizar microscópicamente. Lo único que podemos visualizar son hallazgos sutiles tales como la salida de megacariocitos, desde la médula ósea al compartimento vascular, secundaria a la anoxia shock-dependiente, o la severa llegada de sangre a los órganos más nobles a fin de aportar oxígeno (congestión severa), y las dificultades mostradas por los elementos formes de la sangre (sludging eritrocitario, agregación y/trombos plaquetarios), para circular adecuadamente a través de la microcirculación.
| Prof. Garfia.A123.1.B.-Foto 19.-(diapositiva 6). |
Por eso, los denominados síntomas guía son la disnea y el colapso, seguido de convulsiones secundarias a la anoxia tisular. Para lo de las náuseas y vómitos no tengo respuestas, a no ser que dependan de la acción del veneno sobre la musculatura lisa intestinal (además de la vascular). Prof. Garfia.A
| Prof. Garfia.A123.1.B.-Foto 19.-(diapositiva 6). |
Es una de las cuestiones más importantes. Las laringitis infecciosas agudas fatales presentan otro patrón de engrosamiento laríngeo y, por supuesto, el tratamiento inmediato es totalmente diferente al del aconsejado en la anafilaxia. (véase la siguiente diapositiva). Prof. Garfia.A
EL DIAGNÓSTICO DIFERENCIAL
| Prof. Garfia.A123.1.B.-Foto 20.-(diapositiva 7). |
CON LA LARINGITIS AGUDA INFECCIOSA MORTAL.
IMAGEN DERECHA: ASPECTO MACROSCÓPICO DE LA LARINGE EN VISIÓN DORSAL. A la izquierda, detalle microscópico del infiltrado inflamatorio agudo mediado por fibrina y leucocitos polimorfonucleares.
Nótese el edema indurado de la epiglotis, en la laringitis infecciosa aguda mortal, que provoca una severa estenosis de la luz laríngea (epiglotitis infecciosa aguda fatal) mientras que los pliegues aritenoepiglóticos presentan un edema blando, macroscópicamente de aspecto muy similar al edema del shock anafiláctico que se muestra en el caso número 38. (Ver casos 36, 37 y 38 , en este mismo Blog).
Prof. Garfia.A
| Prof. Garfia.A123.1.B.-Foto 21.-(diapositiva 8). |
Foto. 21-Laringe. Cara posterior. Edema en un caso de Anafilaxia a Medicamentos.
Intenso edema bilateral, que afecta a los pliegues aritenoepiglóticos provocando borramiento de los tubérculos cuneiforme y corniculado. Es especialmente severo en el lado derecho. Nótese que en la epiglotis el edema es mínimo, al contrario de lo que ocurre en las epiglotitis infecciosa aguda fatal (laringitis infecciosas) que se observa en la fotografía anterior.
La imagen de la derecha muestra que el infiltrado inflamatorio (plasmáticas y eosinófilos), es bastante escaso.
Prof. Garfia.A
| Prof. Garfia.A123.1.B.-Foto 22.-(diapositiva 9). |
REFERENCIAS ACTUALES CONSULTADAS
- Postmortem findings after fatal anaphylactic reactions.
- 2.-Forensic Investigation in Anaphylactic Deaths
- HOW TO LINK:
- HTML CODE
- Available from: http://www.intechopen.com/books/forensic-medicine-from-old-problems-to-new-challenges/forensic-investigation-in-anaphylactic-deaths
Forensic Investigation in Anaphylacti-deaths
Authors.-
Nicoletta Trani, Luca Reggiani Bonetti, Giorgio Gualandri, Giuseppe Barbolini and Margherita Trani (2011). Forensic Investigation in Anaphylactic Deaths, Forensic Medicine - From Old Problems to New Challenges, Duarte Nuno Vieira (Ed.), ISBN: 978-953-307-262-3, InTech, Available from: http://www.intechopen.com/books/forensic-medicine-from-old-problems-to-new-challenges/forensic-investigation-in-anaphylactic-deaths.
3.- Navarro. E y Canós. J.C.- Protocolo de actuación en muerte súbita por anafilaxia. Rev Esp Med Legal. 2011; 37 (1): 37-45.
Autor para correspondencia:
enavarro@infomed.es ( Dra. Esperanza Navarro Escayola).
xxxxxxxxxxxxxxxxxxxxxxxxxxxxxxx

