Translate

viernes, 18 de diciembre de 2009

57.- HISTOPATHOLOGICAL MARKERS IN FORENSIC PATHOLOGY. II.- PULMONARY VITAL REACTIONS AFTER BEING BURIED UNDER SUGAR.PROF.GARFIA.A

57.-SUFFOCATION DEATH BY OCCLUSION OF THE AIRWAYS WITH SUGAR: HISTOPATHOLOGICAL  MARKERS OF VITAL REACTIONS IN THE TRACHEOBRONCHIAL TREE AND LUNGS).
Prof.Garfia.A
57.-(TOD DURCH ERSTICKEN VERSCHLUSS DER ATEMWEGE MIT ZUCKER).
Prof.Garfia.A
57.-MUERTE POR SOFOCACIÓN DEBIDA A  CAIDA ACCIDENTAL Y SEPULTAMIENTO EN UN SILO DE AZUCAR. II.- Marcadores histopatológicos de vitalidad en la vía aérea y en los pulmones. 
PROF.GARFIA.A

     Respiración es un término que se utiliza para describir a dos procesos diferentes, pero interconectados: la respiración mecánica y la respiración celular.
   La respiración celular es el proceso mediante el cual las células obtienen energía por la degradación/rotura enzimática de las moléculas orgánicas. 
   La respiración mecánica es el proceso mediante el cual el oxígeno necesario para la respiración celular es tomado de la atmósfera, y transferido a los vasos sanguíneos, y el dióxido de carbono es excretado hacia aquella. 
  La respiración mecánica tiene lugar en el aparato respiratorio. 
    El Aparato Respiratorio se divide, anatómicamente, en dos partes: el Aparato Respiratorio Superior (naríz, senos paranasales y  nasofaringe), y el Aparato Respiratorio Inferior (laringe, tráquea y bronquios), separados por la faringe.

     La muerte por asfixia es una causa bastante frecuentemente encontrada en las muertes de etiología  suicida. En algunas estadísticas al uso alcanzan hasta un 30%, aproximadamente, de todos los suicidios. Desde un punto de vista etiopatogénico, las muertes asfícticas se pueden producir por uno de los siguientes mecanismos:

1.- Obstrucción mecánica de la vía aérea.
2.- Compresión del cuello.
3.- Compresión del tórax.
4.- Desplazamiento del O2 por otro gas.
5.-Bloqueo tóxico de los enzimas de la cadena respiratoria celular (intoxicación por cianuro, monóxido de carbono, fosfina,etc).

    En la mayoría de los países, las causas más frecuentes de asfixia, de etiología suicida, son: la ahorcadura ( casi un 70%), y la intoxicación por monóxido de carbono ( 30%).
    En la literatura se han descrito casos de asfixia por aspiración de polvos de talco, de arena; casos de sofocación -obstrucción de la vía aérea - por sepultamientos en arena y/o en la nieve, etc. Sin embargo, no hemos encontrado ninguna publicación  de muerte debida a un sepultamiento en azúcar de un trabajador, debido a su caída accidental en un silo de almacenamiento de aquella sustancia, cuando se encontraba realizando labores de limpieza en la cinta transportadora localizada en la parte superior del silo.

DESCRIPCIÓNDEL CASO
    Se trata de un varón de 60 años, que fue encontrado, sepultado en azúcar, en la tolva localizada en la parte más inferior del citado silo. El cadáver se encontraba vestido con ropa de trabajo y botas de goma.

AUTOPSIA MÉDICO-LEGAL
Examen externo
     El cuerpo presentaba algunas excoriaciones en la frente y los orificios nasales, y ambos conductos auditivos, se encontraban taponados por azúcar.
Examen Interno
    La apertura de la vía aérea superior demostró la existencia de una gran cantidad de moco, muy espeso, en la glotis aunque no se detectaron restos de azúcar blanquilla, que parecía haberse diluído en el moco depositado sobre el epitelio glótico.      Los bronquios principales presentaban abundante moco, espeso y transparente, similar al detetectado en la laringe. Los pulmones eran edematosos,  con equímosis subplurales, y rezumaban abundante líquido espumoso, de color rosado, a la expresión suave. En el informe de Autopsia se emitieron los siguientes diagnósticos macroscópicos:
Manera de la Muerte: Accidental
Causa de la Muerte: Asfixia por sofocación debida a sepultamiento en azúcar. 





Histopatología Forense Práctica
Blog nº 57. Foto 1
Prof. Garfia.A
Fig.- 1 Silo para  azúcar  donde se produjo el accidente.



Histopatología Forense Práctica
Blog nº 57. Foto 2
Prof. Garfia.A
Fig. 2.- Suelo de la tolva del silo donde fue localizado el cadáver ( flechas).



Histopatología Forense Práctica
Blog nº 57. Foto 3
Prof. Garfia.A 
Fig. 3.- Posición  de  la cabeza, en el interior de la tolva, después de proceder a "desenazucar" para la liberación del cadáver.



Histopatología Forense Práctica
Blog nº 57. Foto 4
Prof. Garfia.A

Fig.4.-Detalle de la cabeza mostrando escoriaciones en la región fronto-parietal izquierda.
     Los orificios nasales y los conductos auditivos se encuentran taponados por azúcar y por la boca sale líquido sanguinolento  que se dirige hacia la región lateral derecha del cuello. 
Prof. Garfia.A


Histopatología Forense Práctica
Blog nº 57. Foto 5
Prof. Garfia.A 

Fig. 5.- Muestra el aspecto de los cristales de azúcar, procedentes de un sobrecillo monodosis, examinados directamente al microscopio, con luz incidente. Prof.Garfia.A




Histopatología Forense Práctica
Blog nº 57. Foto 6
Prof. Garfia.A 


Fig. 6.- Cristales de azucar procedentes de un sobrecillo monodosis, examinados con luz polarizada, después de dos minutos en presencia de saliva.
Prof.Garfia.A


Histopatología Forense Práctica
Blog nº 57. Foto 7
Prof. Garfia.A 


Fig. 7.- Cristales de azúcar que permanecieron en presencia de saliva durante varios minutos. Nótese la fragmentación, la pérdida de la forma cristalina, y la adopción de formas redondeadas por los fragmentos. Prof.Garfia.A



Histopatología Forense Práctica
Blog nº 57. Foto 8
Prof. Garfia.A 


Fig. 8.- Corresponde a un  frotis del moco laríngeo, abundante y espeso, conteniendo numerosas esférulas teñidas de color azul intenso - con la técnica de P.A.S. para la demostración de hidratos de carbono - correspondientes a los restos de azúcar aspirados y disueltos en el moco. Prof.Garfia.A


Histopatología Forense Práctica
Blog nº 57. Foto 9
Prof. Garfia.A 

Fig. 9.-Extensión de Moco Laríngeo. Detalle de las esférulas de azúcar embebidas en el moco laringo-traqueal, teñidas con la técnica de P.A.S.  ( Periodic Acid Schiff ),  para Hidratos de Carbono. En el frotis se encuentran algunas bacterias, teñidas de un color azulado, en el ángulo inferior derecho y gránulos de almidón (azúcar de remolacha). Prof.Garfia.A



Histopatología Forense Práctica
Blog nº 57. Foto 10
Prof. Garfia.A 

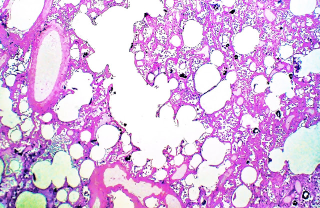
Fig. 10.- Pulmón.Tricrómico de Masson. 
     A pequeño aumento muestra áreas de edema y de hemorragia y la presencia de material particulado en algunos espacios alveolares. Algunos alveolos muestran una especie de revestimiento laminar seudomembranoso. Prof.Garfia.A


Histopatología Forense Práctica
Blog nº 57. Foto 11
Prof. Garfia.A 57

Fig.11.- Pulmón. Con la técnica de P.A.S. se puede observar la formación de seudomembranas/ moldes alveolares de material P.A.S. positivo que reviste las paredes de algunos alveolos. Prof.Garfia.A



Histopatología Forense Práctica
Blog nº 57. Foto 12
Prof. Garfia.A 

Fig. 12.- Pulmón. Mediano aumento para mostrar el aspecto del material particulado hallado en los alveolos pulmonares  (partículas de azúcar) teñidas de color azul por los colorantes del tricrómico.
Prof.Garfia.A




Histopatología Forense Práctica
Blog nº 57. Foto 13
Prof. Garfia.A 

Fig. 13.- Pulmón.P.A.S. Detalle del revestimiento alveolar seudomembranoso por el azúcar aspirado, intensamente teñido por la técnica de P.A.S. para hidratos de carbono.
Prof. Garfia.A



Histopatología Forense Práctica
Blog nº 57. Foto 14
Prof. Garfia.A 
Fig.14.-Pulmón. Muestra el enfisema agudo bronquiolo-alveolar; la presencia de partículas de azúcar en numerosos espacios alveolares, y la formación de seudomembranas P.A.S. positivas revistiendo las paredes de algunos alveolos. Prof.Garfia.A





Histopatología Forense Práctica
Blog nº 57. Foto 15
Prof. Garfia.A 

 Fig. 15.- Pulmón.Técnica de P.A.S. Demuestra la presencia de depósitos de azúcar  sobre el epitelio de un bronquiolo respiratorio, constituyendo un molde seudomembrananoso bronquiolar.
Prof.Garfia


Histopatología Forense Práctica
Blog nº 57. Foto 16
Prof. Garfia.A 

Fig. 16.- Pulmón. Técnica de P.A.S. 
    Formación de evaginaciones  - blebs - en las paredes alveolares debido al intenso edema desencadenado por el efecto osmótico del azúcar. Esférulas membranosas conteniendo líquido de edema - formadas a partir de "blebs" evaginados de las paredes alveolares - se encuentran libres flotando  en los espacios alveolares. Prof.Garfia.A



Histopatología Forense Práctica
Blog nº 57. Foto 17
Prof. Garfia.A

Fig. 17- Pulmón. Detalle de la anterior. Técnica de P.A.S.  Para mostrar el severo edema intersticial pulmonar y la formación de vesículas membranosas      -conteniendo líquido de edema y desprendidas de las paredes alveolares - en diferentes estadíos morfológicos  evolutivos. 
Prof.Garfia.


                                   XXXXXXXXXXXXXXXXXXXXXXXXXXXXXXXXXXX



martes, 1 de diciembre de 2009

56.-HISTOPATHOLOGICAL MARKERS IN FORENSIC PATHOLOGY. I.- HYPOTHERMIA AND SUDDEN UNEXPECTED DEATH. PROF. GARFIA.A

56.-WISCHNEWSKI ULCERS AS HYPOTHERMIA MARKERS IN  UNEXPECTED SUDDEN DEATH. PROF.GARFIA.A

56.-ULCERAS DE WISCHNEWSKI (ULCERAS GÁSTRICAS AGUDAS) EN LAS MUERTES POR HIPOTERMIA.


Uno de los papeles más importantes que juega la Histopatología Forense ( Véase caso nº 4: Establecimiento de Relaciones de Causalidad y de Grados de Certeza), es el de desenmascarar la tupida red de relaciones causa-efecto, en el campo de la Medicina Legal. De cara a los Tribunales de Justicia, los hallazgos microscópicos deberían poseer un alto grado de certeza, con respecto a la causa de aquellos, para poder ser utilizados como pruebas concluyentes. Idealmente, se debería intentar conseguir establecer una relación causa-efecto de tipo unidireccional o única: un efecto, una causa, excluyendo otras posibilidades del hallazgo. En Medicina Legal, no es suficiente que el establecimiento de relaciones causales y los  grados de certeza se basen, solamente, en métodos empíricos ( la experiencia personal del investigador) o estadísticos. Por eso, uno de los problemas a los que se enfrenta la Patología Forense es el de la necesidad de encontrar marcadores histopatológicos específicos que nos permitan el establecimiento de relaciones de causalidad o  de Grados de Certeza de Tipo I ( un hallazgo; una causa ).
Las muertes que tienen lugar en condiciones de hipotermia son, habitualmente, accidentales  y se han descrito - en la literatura - lesiones asociadas a dichas muertes que podrían servir como marcadores de hipotermia. Por ejemplo, se ha dicho que el edema pulmonar puede estar presente en el 27% de estas muertes y la pancreatitis hemorrágica, en un 18%. Sin embargo, tanto el edema pulmonar como la pancreatitis son hallazgos totalmente inespecíficos; por ejemplo, el edema agudo de pulmón es el paradigma de la inespecificidad y la pancreatitis aguda hemorrágica se puede presentar en múltiples situaciones patológicas como: la colelitiasis, el alcoholismo crónico, los traumatismos abdominales, como complicacion de una sepsis,etc.
Un hallazgo, mucho más específico, es un tipo de úlcera gástrica aguda que adopta un patrón particular en lo que se refiere a  distribución, morfología, y adopción de patrones típicos,  macro y microscópicos, de presentación en el estómago. Aunque estas úlceras, llamadas de Wischnewski, no son patognomónicas de una hipotermia antemortem, suelen encontrarse en individuos que han fallecido, al aire libre y en un ambiente cuya temperatura no superaba los 10º. La temperatura corporal mínima requerida para el desarrollo de estas lesiones   se encuentra alrededor de los 31-32º y el tiempo de supervivencia, o de exposición corporal a una baja temperatura ambiental, es de unas 24 horas. 
Las úlceras de Wischnewski difieren de otras úlceras gástricas agudas ( úlceras de Cushing, en los traumatismos cráneoencefálicos; úlceras de Curling, en las quemaduras),  en varios aspectos: 1) Siempre son múltiples, muy numerosas, y se distribuyen por toda la superficie gástrica, no limitándose al fundus o al antro pilórico. 2) De forma típica, estas úlceras tapizan toda la mucosa gástrica o la casi totalidad de ella. 3) adoptan una,  distribución regular y un patrón geométrico muy característico. 4) Se encuentran en una proporción que abarca desde un 90 hasta un 95% de las muertes que tienen lugar en condiciones hipotérmicas, aunque su frecuencia es variable dependiendo de la temperatura y del tiempo de supervivencia.

DESCRIPCIÓN DEL CASO

Se trata de un individuo de 66 años, huído de un Hospital de Referencia de la costa malagueña, cuyo cadáver fue encontrado en un descampado, cercano a dicho Centro. Desconocemos más datos de la historia clínica del paciente y de los motivos de su ingreso hospitalario. Durante la Autopsia se puso de manifiesto la existencia de un edema cerebral y se describió la presencia de múltiples erosiones hemorrágicas en la mucosa gástrica. Los riñones y el bazo se describieron como exangües y se diagnosticó una muerte por hemorragia aguda digestiva, alta.

El Estudio Histopatológico.-

Demostró la existencia del edema cerebral, de grado marcado, y una arterioloesclerosis hipertensiva esplénica, y de los vasos portales hepáticos, así como una nefroangioesclerosis, de grado moderado. La mucosa gástrica presentaba una multitud de úlceras, distribuidas por toda la superficie gástrica - desde el fundus hasta el antro pilórico - que llegaban a medir hasta 1.5 cm de diametro, y cuya superficie se encontraba recubierta por sangre coagulada. Microscópicamente, las úlceras aparecían muy bien delimitadas - lateralmente - del resto de la mucosa indemne; en profundidad la extensión de la necrosis es variable - hasta el tercio medio o inferior  de la mucosa gástrica. En la superficie ulcerada y en el  seno de la necrosis hemorrágica ulcerosa se depositaban pigmentos procedentes de la rotura de los hematíes - sometidos a la digestión ácida de los jugos gástricos. En profundidad, en el cono de proyección de las úlceras, se podía detectar un infiltrado inflamatorio agudo que atravesaba la muscularis mucosa y se extendía, focalmente, hacia la submucosa. La existencia de un infiltrado inflamatorio agudo demuestra que las úlceras poseen una data de varias horas "conditio sine qua non"   para su producción, en situaciones de hipotermia.
El mecanismo de formación de las úlceras gástricas agudas es desconocido, pero las características histológicas de aquellas sugieren un mecanismo de producción de tipo isquémico, secundario al aumento de secreción de histamina y serotonina y a la subsiguiente estimulación del  Sistema Nervioso Neurovegetativo - que controla la inervación de las paredes vasculares de las arteriolas gástricas - que tiene lugar  durante la presentación de un estrés hipotérmico. Cuando se observa el aspecto microscópico de la úlcera mostrada en la fig. 3, se puede intuir que la necrosis adopta la forma de un cono trucado -con la base dirigida hacia la superficie gástrica y el vértice del cono hacia la muscularis mucosa- lo cual apoya la hipótesis  de que su origen es isquémico. 



Fig.1-Wischnewski Ulcers: Acute Gastric Ulcers.Macroscopical aspect. Prof.Garfia.A





Fig.2.- Wischnewski Ulcers:Acute Gastric Ulcers. Detail. Prof.Garfia.A




Fig.3.-Wischnewski Ulcer: Acute Gastric Ulcer. Microscopical Aspect. Perpendicular microscopical section. Prof.Garfia.A





Fig. 4.- Wischnewski's Ulcer. Microscopic detail  showing inflamatory cells at the base of the  ulcer and through the muscularis mucosae (submucosa). Prof.Garfia.A


miércoles, 11 de noviembre de 2009

55.-ALCOHOLIC LIVER DISEASE -BAC NEGATIVE- AND SUDDEN DEATH. PROF.GARFIA.A

55.- ALCOHOLIC LIVER DISEASE ( MASSIVE FATTY LIVER) AND SUDDEN DEATH WITH BLOOD ALCOHOL CONCENTRATION (BAC) NEGATIVE. A PATHOLOGICAL-BIOCHEMICAL CONTRADICTION? REPORT OF A CASE. PROF.GARFIA.A


DESCRIPCIÓN DEL CASO.-

Se trata de un individuo de 39 años, vigilante de seguridad, que fue encontrado muerto en su lugar de trabajo en posición de decúbito prono, sobre las cuatro de la tarde.Poseía antecedentes de consumo de alcohol, cocaína y cannabis. Se procedió a la realización de una Autopsia médico-legal que puso de manifiesto los siguientes hallazgos:

Levantamiento del cadáver.-
El cuerpo presentaba restos de tierra, en la boca y en la hemicara derecha, así como diversas erosiones - por caída al suelo - en la región supraciliar derecha y en la nariz.

AUTOPSIA
Examen Interno.-
El cadáver mostró una intensa congestión cérvico-cefálica y signos de un Síndrome General Asfíctico - sangre muy oscura, fluída y espumosa - así como una congestión visceral generalizada, inespecífica.
Los pulmones pesaron 1200 g, eran intensamente congestivos y presentaban áreas de hemorragia en la superficie pleural de ambos lóbulos superiores.
El corazón pesaba 400 g y presentó signos de insuficiencia cardiaca derecha, aguda.
El hígado, de 1800 g, poseía aspecto de foie-grass.
En el estómago se encontró abundante contenido alimenticio, semi-líquido, y la mucosa presentaba aspecto hemorrágico en el fundus, lo cual sugería que se trataba de una gastritis aguda de etiología tóxica.
Los riñones eran congestivos.
 El cerebro, no presentó anomalías dignas de mencionarse.

HISTOPATOLOGÍA.-
El estudio histopatológico detallado, puso de manifiesto la existencia de una intensa congestión pulmonar,con áreas de edema y de hemorragia alveolar, así como focos extensos de colapso pulmonar que fueron atribuídos a maniobras de resucitación cardiopulmonar.
El corazón, de 400 g, presentaba parámetros valvulares que se encontraban dentro de la normalidad; ambos ventículos estaban discretamente hipertrofiados (VD. 0.5 cm;VI 1.8 cm), y el ventrículo derecho era adiposo. La aorta presentaba ateromatosis de Grado I/II.
Las arterias coronarias eran permeables y presentaban un engrosamiento hiperplásico de la íntima, concéntrico, de grado mínimo (0-25%, de estenosis luminal), en los tres troncos coronarios principales.
En los músculos papilares ventriculares izquierdos se detectó una arteriolosclerosis, de grado moderado, sin que existiera evidencia morfológica de isquemia miocárdica aguda o crónica. En la pared anterior ventricular derecha y en el tabique, se descubrían áreas en las que existían miocardiocitos atróficos, que alternaban con otros de diámetro normal (atrofia miocárdica multifocal), un hallazgo sugestivo de miocardiopatía alcohólica.
En la cara anterior ventricular derecha se localizaron algunos focos microscópicos de pericarditis crónica.
El hígado, presentaba una estatosis difusa, panlobulillar, de gota mediana y gruesa, y presencia de focos de necrosis de hepatocitos aislados con células inflamatorias asociadas.
Los sinusoides hepáticos -visualizados con técnicas de impregnación argéntica- se encontraban colapsados por el considerable aumento de volumen -balonizante- de los hepatocitos esteatósicos.
El cuadro morfológico era compatible con una Hepatopatía Alcohólica Aguda Grave, aunque la alcoholemia se encontraba por debajo de 0,12 mg/L. El resto de la analítica fue negativa para estupefacientes y psicotropos, y en la orina se detectó Cannabis Sátiva, en una concentración baja.
Spitz y Fischer ( Médicolegal Investigation of Death. 3ª Ed. 1993.pp 646), han escrito que muchos clínicos no poseen una conciencia clara de que un hígado graso, asociado al alcoholismo crónico, pueda ser el único hallazgo significativo en algunas muertes inesperadas de adultos y que -en algunas regiones de los EEUU- esa es la segunda causa de muerte inesperada en los adultos, inmediatamente por detrás de las muertes cardiocirculatorias, llegando a convertirse en el 17% de todas las muertes naturales. Aunque la mayoría de las víctimas se encuentran asintomáticas, algunas de ellas acuden a los Servicios de Urgencia de los Hospitales porque presentan - inesperadamente - cuadros arrítmicos, hipopotasemia y/o crisis hipoglucémicas.
Un cuadro morfológico de Hepatopatía Alcohólica Aguda puede incluir los siguientes hallazgos microscópicos:

1.-Esteatosis hepatocitaria, de tipo mixto (macro y microvesicular) o de predominio macrovesicular; raras veces es microvesicular sola y entonces se suelen presentar los dos patrones: macro y micro, o macro y de gota de mediana. La localización de la degeneración grasa suele afectar a los hepatocitos de las áreas 3 y 2 (pericentrales y mediozonales), del acino hepático, con preservación de los hepatocitos del área  1  (periportales).

2.- Hepatitis Alcohólica, con un grado de afectación de leve a moderado ( presencia de cuerpos de Mallory, necrosis de hepatocitos aislados con células inflamatorias asociadas, colestasis, etc).

3.- Incremento del depósito de hierro trivalente en los hepatocitos ( visualizado con la técnica de Perls).

4.-Fibrosis pericentral y periportal, irradiante hacia las paredes de los capilares sinusoides.
La muerte inesperada súbita es, por lo tanto, bastante frecuente en los sujetos alcohólicos y, en las autopsias de estos individuos se suele encontrar - como único hallazgo importante - la existencia de un hígado graso masivo.

La asociación hígado graso y muerte súbita, se conoce dede el año 1926 ya que dos autores, Le Count y Singer ( 1926), fueron los primeros que llamaron la atención sobre dicha asociación; ellos atribuyeron las muertes, en aquellos individuos, a la disminución de la capacidad almacenadora de glucógeno por el hígado.Graham, en 1944, estudió cinco casos de muerte de este tipo y consideró a la hipoglucemia como la responsable del coma terminal, con o sin convulsiones, seguido de muerte. La aparición de muerte súbita en animales alimentados con dietas deficitarias en determinadas vitaminas, hizo pensar al autor que podía existir una alteración de tipo nutricional.
Otro mecanismo de muerte, propuesto para estos casos, ha sido la existencia de una embolización grasa, procedente del hígado, hacia diferentes órganos entre los que se encuentran los pulmones, los riñones y el corazón (en éste, hacia las arterias de los nódulos sinusal y atrio-ventricular). En esta línea de investigación, Hartrof y Ridout, demostraron que existía un escape de lípidos desde los quistes grasos hepáticos, hacia los canalículos biliares y los sinusoides hepáticos, en ratas que habían sido alimentadas con pienso deficiente en colina* que presentaron un hígado graso.

*COLINA.-
Sinonimia: Bilineurina ; Sincalina.
Es el hidróxido de trimetilhidroxietilamonio [(CH3)3 N+ -CH2-CH2 OH] OH-
Base amoniacal cuaternaria, relativamente inestable; amina biógena, muy importante biológicamente, que se halla presente, libre o combinada, en forma de fosfolípidos en: la yema de huevo, el hígado, los cereales, las legumbres y la leche fresca. Es necesaria como metabolito esencial de los adultos, en una cantidad de, aproximadamente, 0.5 g diarios. Está presente, también, en el suero sanguíneo, el hígado, la vesícula biliar, la orina y el esperma. Después de su absorción por el intestino, es metabolizada en el hígado y los riñones ( desmetilación oxidativa). En caso de necesidad es sintetizada, también, en el hígado y en la pared del intestino, a partir de la colamina. Es un componente básico de la acetilcolina - aunque no posee efectos colinérgicos – y sí que ejerce funciones esenciales en el metabolismo intermediario. Constituyente de la lecitina y del plasmalógeno, actúa especialmente como protector lipotrófico del hígado y donante de grupos metilo (dador de metilos).
Estos estudios estaban destinados a determinar si la embolización grasa pulmonar podía constituir un factor etiológico en el desencadenamiento de las muertes inesperadas súbitas que presentan algunos sujetos alcohólicos. Lynch y col (1959), estudiaron una serie de 268 autopsias - incluyendo 200 adultos y 68 niños -, diecinueve de las cuales pertenecían al grupo de sujetos que presentaron una muerte inesperada asociada a un hígado alcohólico. En todos los casos se pudo demostrar una embolización grasa pulmonar de grado severo. En el grupo se incluían cinco pacientes cirróticos, dos de los cuales murieron en coma hepático. En el momento de la redacción del trabajo los autores decían haber estudiado 40 casos de muertes en alcohólicos que presentaron un hígado graso y que, en 31 de ellos ( 77.5%) demostraron embolización grasa pulmonar; en doce de las víctimas se demostró, también, una embolización grasa cerebral. Un hallazgo que puede tener mucha importancia, desde el punto de vista médico-legal, descrito por los autores, fue la presencia de una hemorragia subaracnoidea en uno de los casos; se trataba de  de una paciente femenina que había estado bebiendo durante varios días, encontrándose en una situación clínica cercana al delirium tremens. La paciente, después de un fuerte dolor de cabeza, se colapsó y entró en coma irreversible muriendo a las pocas horas del comienzo de aquel. La autopsia reveló un hígado graso y la comentada hemorragia subaracnoidea en el área cortical frontal. Los autores opinaron que no existió una causa obvia para la hemorragia - la cual fue considerada espontánea y atribuída al déficit de vitamina K - desencadenado por la embolización grasa. Este hecho puede hacer que aparezcan en el cadáver hemorragias muy severas desencadenadas por traumatismos de poca importancia, tal como sucede en los pacientes bebidos. Las hemorragias pueden llegar a ser tan espectaculares que induzcan, en el médico forense, la sospecha de un homicidio. Un caso de esta naturaleza ocurrió hace varios años en Barcelona. Se trataba de un paciente alcohólico que apareció cadáver en su domicilio. En la mesilla de noche aparecieron varias botellas vacías de güisqui, junto con medicación diurética. El cadáver presentaba importantes heridas en la cabeza, así como extensos hematomas por toda la superficie corporal. El cuadro fue tan espectacular que indujo en los médicos forenses que realizaron la autopsia, la sospecha de un homicidio. A destacar era el dato de que la alcoholemia fue negativa. El hallazgo más importante del estudio histopatológico fue la existencia de un Hígado Graso que mostraba, microscópicamente, una esteatosis, de tipo macrovesicular, masiva. El interrogatorio posterior de la familia, por el Juez, arrojó alguna luz sobre el caso en el sentido de fueron sacados a la luz los antecedentes de un consumo alcohólico muy severo, por el sujeto. Más recientemente, el estudio de las relaciones existentes entre el hígado graso  - de diferentes etiologías - y la embolización grasa pulmonar, como causa de muerte, ha sido revisada por Schulz y col. ( 1996). Por lo tanto, podemos afirmar que un problema de excepcional interés Médico-Legal es el hecho de que existe una proporción de casos de Muerte Inesperada, en sujetos alcohólicos, en las que concurren los siguientes elementos:

1.-Poseen antecedentes de consumo crónico de alcohol.
2.-Presentan una Muerte Inesperada Súbita.
(muerte que ocurre dentro de la primera hora del comienzo de los síntomas o del shock, y es extrahospitalaria y sin testigos), o Prolongada/Diferida (muerte presenciada por testigos y que ocurre ocurre entre las 24 y las 48 horas del comienzo de los síntomas y suele ser intrahospitalaria).
3.-El estudio histopatológico demuestra la existencia de un Hígado Graso Masivo (Panlobulillar; más de un 70% de hepatocitos afectados por el cambio graso).
4.-Los análisis químicos suelen ser negativos para drogas de abuso.
5.- La Alcoholemia es negativa o se encuentra por debajo 0.1-0.2 g/L.
          En esos casos, la causa inesperada de la muerte ha sido atribuída, recientemente, a una Cetoacidosis Alcohólica (Kadis y col. 1999). Para estos autores, la presencia de alcohol en el hígado inhibe la gluconeogénesis lo que puede llevar, después de un periodo de ayuno prolongado o de un aumento brusco del consumo de la glucosa sanguínea, a una hipoglucemia con la consiguiente reorientación del metabolismo y de la síntesis de cuerpos cetónicos; estos cambios metabólicos provocarían una cetoacidosis. El exceso de NADH ( que es la enzima - en forma reducida - de la nicotinamida-adenina-dinucleótido), resultante del metabolismo del exceso de alcohol, conllevaría a un aumento de la conversión del aceto-acetato en Beta-hidroxibutarato; éste es el cuerpo cetónico que se encuentra más elevado en la sangre, en los casos de cetoacidosis-alcohólica. Por esta razón,  los autores del trabajo utilizan la determinación de Beta-hidroxibutarato como marcador indirecto de una cetoacidosis alcohólica antemortem ( la glucemia y la acidosis postmortem, son menos indicativas de un estado cetoacidótico, debido a los rápidos cambios en el pH sanguíneo y en la concentración de la glucosa postmortem).
          Sin embargo, la causa de que la alcoholemia sea negativa en este grupo de pacientes, es un fenómeno que necesita de un mayor esfuerzo investigador. El fenómeno posee una gran trascendencia Médico-Legal  -de cara a posibles indemnizaciones- en accidentes de tráfico, laborales, etc. Es probable que el alcohol se acumule en algunos órganos diana y que sea secuestrado de la sangre ante la difícil situación metabólica generada por el cambio brusco y masivo hepático, en relación con la grave esteatosis, la posible embolización grasa hepática o el estado cetoacidótico determinante final de la muerte, en estos sujetos.




Histopatología Forense Práctica
blog nº 55. foto 1
Prof. Garfia.A

Fig.1.-Aspecto macroscópico del hígado que presentaba color amarillo pálido (descrito como hígado en foie-gras en la autopsia). Prof. Garfia.A



Histopatología Forense Práctica
blog nº 55. foto 2
Prof. Garfia.A


Fig. 2.- Corte microscópico hepático, teñido con Tricrómico de Masson. En la fotografía se distingue la figura de un lobulillo hepático, de forma hexagonal, limitado por los espacios porta (P) que se localizan en los vértices del hexágono lobulillar, a distancia radial de la vena centrolobulillar (estrellas). El hígado presenta, al microscopio, un aspecto apolillado, por la degeneración grasa de los hepatocitos, que afecta, difusamente, al lobulillo (degeneración grasa panlobulillar, grave, más de un 90% de hepatocitos afectados). Prof.Garfia.A


Histopatología Forense Práctica
blog nº 55. foto 3
Prof. Garfia.A

Fig. 3.- Corresponde a una fotografía en blanco y negro, de la imagen anterior, para destacar el cambio graso panlobulillar y el aspecto apolillado del parénquima hepático. Prof. Garfia.A

Histopatología Forense Práctica
blog nº 5. foto 4
Prof. Garfia.A

Fig. 4.- Detalle de un lobulillo hepático clásico, mostrando la  vena centrolobulillar (estrella) y la esteatosis, de tipo mixto 
(macro y microvesicular), que presentan todos los hepatocitos del lobulillo hepático. P = espacio porta. Prof. Garfia.A


Histopatología Forense Práctica
blog nº 55. foto 5
Prof. Garfia.A

Fig. 5.- Detalle de un foco de necrosis hepatocitaria y de las células inflamatorias asociadas a él (Esteatohepatitis Alcohólica).  El diagnóstico diferencial se tiene que establecer con la esteatohepatitis no alcohólica la cual es indistinguible, histológicamente, de  la esteatohepatitis alcohólica (Angulo, P., 2002).  MV= Esteatosis de gota gruesa (Macrovesicular). Prof. Garfia.A



Histopatología Forense Práctica
blog nº 55. foto 6
Prof. Garfia.A

Fig. 6.- La visualización de la trama de Reticulina (soporte tridimensional de los hepatocitos, espacios porta, venas centrolobulillaes y de las paredes de los capilares sinusoides)  pone de manifiesto el intenso colapso del sistema vascular intrahepático, debido al aumento globuloso del citoplasma de los hepatocitos, por el depósito de grasa citoplasmática que provocan el colapso de la red vascular sinusoidalEste fenómeno demuestra el severo cambio circulatorio que se produce en el interior del hígado en esta enfermedad; ello explica, también, que la dificultad del paso de la sangre por el interior de los capilares sinusoides determine un incremento de la presión en el área vascular espleno-portal, con la subsiguiente salida de suero y plasma hacia la cavidad peritoneal, tal como sucede en la cirrosis hepática. Prof. Garfia.A



Histopatología Forense Práctica
blog nº 55. foto 7
Prof. Garfia.A
Fig. 7.- Aspecto macroscópico del corazón. ( de  400 g;  con discreta hipertrofia biventricular - VD 0.5 cm; VI 1.8 cm- y adiposidad ventricular derecha). Nótese cómo predominan - en la víscera - los diámetros transversales. Prof. Garfia.A




Histopatología Forense Práctica
blog nº 54. foto 8
Prof. Garfia.A
Fig. 8.- Microscópico. Nótese la existencia de áreas en las que los miocardiocitos presentan una enorme variabilidad en el diámetro citoplasmático transversal - existiendo numerosas fibras atróficas- junto con otras de diámetro normal. Este tipo de atrofia miocárdica  multifocal se puede encontrar, más fácilmente, en el ventrículo derecho y en el tabique interventricular; constituye un marcador de miocardiopatía alcohólica  cuando se asocia a un hígado graso panlobulillar, grave, y es la base morfológica de la miocardiopatía dilatada asociada al alcoholismo. Prof. Garfia.A



BIBLIOGRAFÍA CONSULTADA.-
1.- Spitz, W.U.- Medicolegal Investigation of Death. ·ª Ed. Thomas Publ. 1993
2.-LeCount E.R. and Singer H.A.- Replacement of the Glycogen in the Liver as a Cause of Death. Arch. of Path. 1:84-89.1926
3.-Graham, R.L.-Sudden Death in Young Adults Associated with Fatty Liver. Bu. John Hopkins Hosp. 74:16-25.1944
4.- Lynch J.G.,Raphael S.S., and Dixon, T.P.- Fat Embolism in Chronic Alcoholism. Arch. Pathol. 68-79.1959
5.- Schulz F., Trübner K., and Hildebrand, E.- Fatal Fat Embolism in Acute Hepatic Necrosis with Associated Fatty Liver. Am. J. For. Med. Pathoil. 17 (3): 264-268.1996
6.- Kadis P., Balazic, J and Ferlan-Marolt V.- Alcoholic Ketoacidosis: a cause of Sudden Death of Chronic Alcoholics. J. For. Sc. 103 (1999). S53-59..
Angulo.P.- Nonalcoholic Fatty Liver Disease. N Engl Med, V.346, nº 16. April 18, 2002